肝癌早期不痛不痒? 只要吃饭时出现这3这个“信号”, 别犹豫, 立马就医
张大爷今年69岁了,在几十年前他被查出患有肝炎,一开始为了让病情稳定还比较配合,生活中饮食、作息都调整得很不错,可是没坚持几年,他的坏习惯又逐渐变回到从前,他说,感觉自己病情已经稳定了,没必要太刻意去做这些细节。

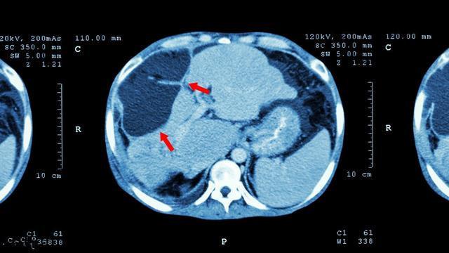
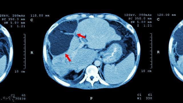
近日,张大爷频繁出现肝部疼痛的症状,而且一天比一天难以忍受,在朋友的劝说下他来到医院进行检查,没想到医生拿到检查报告后告诉他,由于多年的肝炎久治不愈病症已经转化为肝癌了。这让本以为自己病情已经控制的张大爷后悔莫及。

据了解,肝癌的发病率在所以癌症中排在第一位,我国肝癌每年发病人数约有35万人,占到全球肝癌人数的一半左右。专家表示,从肝炎到肝癌其实也只需要三个步骤:乙型肝炎患者有1/3的概率会发展成肝硬化,肝硬化中也有1/3会恶变为肝癌。但是肝癌并非“不治之症”,部分肝癌已经能够临床治愈,关键是早发现、早期治疗。

1、胃胀
肝病患者由于肝部肝腹水增多,从而会出现吃了一点点东西就会觉得吃不下了,或者胃胀的感觉,而这种情况如果长时间不能恢复,一定要去医院检查,一般来说,出现这种情况肝病已经到了很严重的地步。
2、呕吐
由于早期会出现一吃饭就会出现恶心、呕吐的情况,这很容易被人误以为是吃坏了东西,或者肠道出了问题,从而耽搁了病情。所以一旦出现这种情况,病情伴有右腹部疼痛,一定要尽快去医院检查,排除病症因素。

3、消化不良
肝脏受损往往导致消化不好,这主要是由于肝细胞大量受损,分泌胆汁的功能降低,影响了脂肪的消化。肝癌发生的时候就特别容易发生这种消化不良、不想吃东西的情况。
1、积极预防
预防肝炎应从给婴儿接种乙肝疫苗预防乙型肝炎开始,减少肝炎的发病机会。患了肝炎应积极治疗,避免演变成慢性肝炎。若患了慢性肝炎戍该合理治疗、禁止使用对肝脏有损害的药物,同时戒酒,以降低患肝硬化和肝癌的机会。

2、绿茶养肝
绿茶中含有茶多酚、咖啡碱、叶绿素、儿茶素等成分,具有抗癌、抗衰老、抗菌、助消化、降血脂等多种功效,坚持饮用蒿坪绿茶可达到养肝的目的。而好的绿茶堪比中草药,这与环境、产地有很大关系。
“无忧何必去饮茶,清静常品紫阳茶”,紫阳县是我国两大富硒区之一,土壤中含有丰富的天然硒元素。因此每1公斤绿茶含有150ug硒元素。每天冲泡1-2杯蒿坪绿茶,可有效补充人体每日所需硒元素。
硒是生命的必须,人体硒的确实直接会影响到人体免疫力的下降、疾病的随时入侵。适当补硒是保证健康的关键,以茶补硒再好不过,长期饮用蒿坪绿茶对于养肝护肝预防肝癌有很好作用。
3、避免传染
肝病是通过血液和体液进行传播的,生活中对于一些肝病患者, 最好是饭具分开使用 ,尤其是在家庭中,毛巾、生活用品、餐具都要格外注意。